Όνομα Επώνυμο, αγγεοχειρουργός ιατρός

- Προσωπικά Στοιχεία: Το όνομά σας, η διεύθυνσή σας, το τηλέφωνό σας και το email σας.
- Στόχος: Μια σύντομη δήλωση σχετικά με τον επαγγελματικό στόχο σας, δηλαδή τον τομέα εργασίας που επιθυμείτε να εξερευνήσετε.
- Εκπαίδευση: Περιγράφετε τις ακαδημαϊκές σας επιτυχίες, όπως πτυχία, μεταπτυχιακά, διδακτορικά, και άλλες εκπαιδευτικές επιτυχίες.


Οι Υπηρεσίες μας
Εδώ θα βρείτε μερικές από τις Υπηρεσίες μας.

ΔΙΑΓΝΩΣΤΙΚΕΣ ΕΞΕΤΑΣΕΙΣ Αρτηριών
Οι διαγνωστικές εξετάσεις των αρτηριών περιλαμβάνουν διάφορες μεθόδους που χρησιμοποιούνται για να αξιολογήσουν την κατάσταση και τη λειτουργία των αρτηριών.

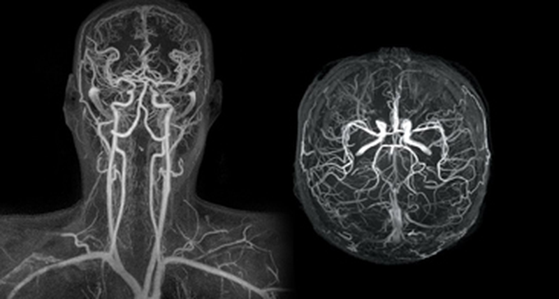
Μαγνητική Αγγειογραφία (MRA)
Η Μαγνητική Αγγειογραφία (MRA) είναι μια μη επεμβατική εξέταση που χρησιμοποιεί τη μαγνητική τεχνολογία και τους υπολογιστές για να δημιουργήσει λεπτομερείς εικόνες των αγγείων στο εσωτερικό του σώματος, συμπεριλαμβανομένων των αρτηριών και των φλεβών.

Doppler Αγγείων – Σφυροβραχιόνιος Αρτηριακός Δείκτης Πίεσης (ABPI)
Ο ABPI είναι χρήσιμος για την αξιολόγηση της περιφερικής αρτηριακής ανεπάρκειας.

Μικροσκληροθεραπεία
Η μικροσκληροθεραπεία είναι μια θεραπευτική διαδικασία που χρησιμοποιείται για τη θεραπεία κιρσών και άλλων αγγειακών διαταραχών.

Αξονική Αγγειογραφία (CTA)
Η Αξονική Αγγειογραφία (CTA) είναι μια ιατρική εξέταση που χρησιμοποιεί τεχνολογία της υπολογιστικής τομογραφίας (CT) για να παράγει λεπτομερείς εικόνες των αγγείων.

Έγχρωμο Υπερηχογράφημα Αγγείων
Αυτή η εξέταση παρέχει λεπτομερείς εικόνες της ανατομίας των αγγείων και πληροφορίες σχετικά με τη ροή του αίματος μέσα σε αυτά.

Ψηφιακή Αφαιρετική Αγγειογραφία (DSA)
Η Ψηφιακή Αφαιρετική Αγγειογραφία (Digital Subtraction Angiography – DSA) είναι μια διαγνωστική τεχνική που χρησιμοποιείται για την εικονογράφηση των αγγείων με υψηλή ανάλυση.

Ανεύρυσμα μηριαίας Αρτηρίας
Το “ανεύρυσμα μηριαίας αρτηρίας” αναφέρεται σε μια αποστολή ή διατομή του τοίχου της μηριαίας αρτηρίας.

Άτονα φλεβικά Έλκη
Τα άτονα φλεβικά έλκη, γνωστά και ως φλεβικά έλκη ή έλκη κάτω άκρου, είναι προβλήματα που σχετίζονται με τις φλέβες, ειδικά με τη δυσλειτουργία των φλεβών και τη συσσώρευση αίματος.

Φλεβική θρόμβωση
Η φλεβική θρόμβωση αναφέρεται στο σχηματισμό ενός θρόμβου (πηγής αίματος) μέσα σε μια φλέβα. Ο θρόμβος αυτός μπορεί να προκαλέσει προβλήματα, καθώς μπλοκάρει τη φυσιολογική ροή του αίματος.

Κακώσεις Αρτηριών
Οι κακώσεις των αρτηριών αποτελούν σοβαρά ιατρικά ζητήματα που μπορεί να έχουν σοβαρές συνέπειες για την υγεία. Οι αρτηρίες μεταφέρουν το οξυγόνο και τα θρεπτικά συστατικά στα ιστά και τα όργα του σώματος.
Ένα σύγχρονο και τεχνολογικό ιατρείο

Ένα σύγχρονο και τεχνολογικό ιατρείο αγγειοχειρουργού θα ενσωματίζει πολλές σύγχρονες τεχνολογίες και πρακτικές προκειμένου να παρέχει υψηλής ποιότητας φροντίδα για προβλήματα που σχετίζονται με τον αγγειακό σύστημα. Ορισμένα χαρακτηριστικά που μπορεί να έχει ένα τέτοιο ιατρείο περιλαμβάνουν:
- Διαγνωστικά Τεστ Κυκλοφορίας: Χρήση σύγχρονων τεχνολογιών, όπως Doppler ultrasound και άλλες απεικονιστικές μεθόδους, για την αξιολόγηση της κυκλοφορίας του αίματος σε αρτηρίες και φλέβες.
- Ειδικευμένος Εξοπλισμός για Χειρουργικές Επεμβάσεις: Σύγχρονος εξοπλισμός για επεμβάσεις αγγειακού συστήματος, συμπεριλαμβανομένων των εγχειρητικών εργαλείων και των επαναστατικών τεχνικών.
- Εφαρμογές Τηλεϊατρικής: Δυνατότητα παρακολούθησης και συμβουλευτικής για αγγειακά θέματα μέσω τηλεϊατρικής.
- 3D Εκτύπωση: Χρήση της τεχνολογίας 3D εκτύπωσης για τη δημιουργία προσαρμοσμένων αγγειακών ενθυμιάτων ή μοντέλων που μπορούν να χρησιμοποιηθούν για την εκπαίδευση και τον σχεδιασμό επεμβάσεων.
- Συστήματα Ενδοαγγειακής Εικονογράφησης: Χρήση τεχνολογιών όπως η αγγειογραφία για την ακριβή αξιολόγηση των αγγείων και των προβλημάτων τους.
- Διαδικτυακή Πλατφόρμα Συνεννόησης: Δυνατότητα επικοινωνίας με τους ασθενείς μέσω ηλεκτρονικών μέσων για την παρακολούθηση της εξέλιξης της θεραπείας και την παροχή συμβουλών.
- Συνεργασία με Άλλους Ειδικούς: Δυνατότητα ενδοσυνεργασίας με άλλους ειδικούς, όπως χειρουργούς, καρδιολόγους και ακτινολόγους, για ολοκληρωμένη περίθαλψη των ασθενών.
Αυτά τα χαρακτηριστικά συμβάλλουν στη δημιουργία ενός ιατρείου αγγειοχειρουργού που προσφέρει σύγχρονη, ασφαλή και αποτελεσματική φροντίδα για ασθενείς με προβλήματα αγγείων.

